Vollkeramik

Neue Materialien für schöne Zähne:

Im letzten Jahrzehnt sind große Weiterentwicklungen bei den keramischen Materialien erfolgt. Hochfeste Keramiken aus Zirkon erlauben metallfreie Versorgungen für Kronen und Brücken. Dunkle Kronenränder gehören der Vergangenheit an. Rein-keramischer Zahnersatz garantiert darüberhinaus hohe Gewebeverträglichkeit und parodontale Gesundheit. Eine präzise zahnärztliche und zahntechnische Leistung ist für diese hervorragenden Eigenschaften wichtige Voraussetzung. Mit unserer Kompetenz, unserem Fachwissen und unseren Auftragslaboren stehen wir in unserer Zahnarztpraxis hierfür ein.

Vorteile :

Hochästhetische Ergebnisse Optimale Bio-verträglichkeit Kostengünstig

Versorgungsformen für Vollkeramik:

Inlays (Keramikinlays)

Veneers (Verblendschalen, Keramikverblendschalen)

Teilkronen

Vollkronen

zurück zurück
Zoom
Zoom
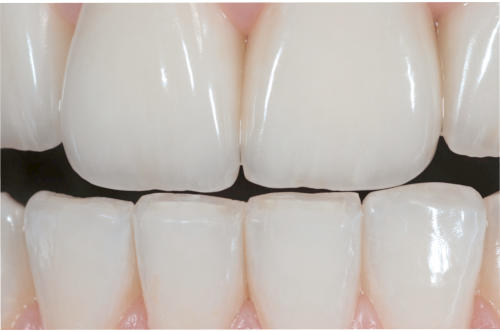
Laborgefertigtes Keramik-Veneer
Direkte Umformung (Komposit)
© dent-team.de

Veneer und Shaping:

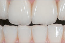
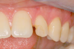
Vorher
Nachher
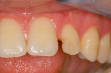
starke Abnutzungen und unbefriedigende Kronen und Teilkronen
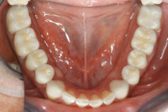
Neuversorgung mit Einzelkronen mit Stellungskorrekturen und funktioneller Wiederherstellung
© dent-team.de

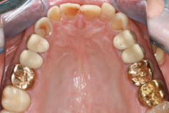
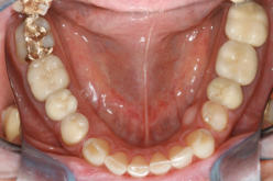
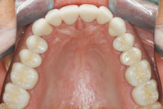
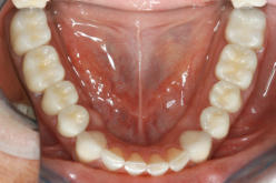
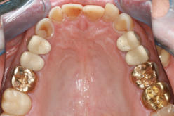
Vollkeramik-Kronen:

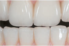
Vorher
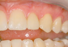
Nachher

Vollkeramik

Neue Materialien für schöne Zähne:

Im letzten Jahrzehnt sind große Weiterentwicklungen bei den keramischen Materialien erfolgt. Hochfeste Keramiken aus Zirkon erlauben metallfreie Versorgungen für Kronen und Brücken. Dunkle Kronenränder gehören der Vergangenheit an. Rein-keramischer Zahnersatz garantiert darüberhinaus hohe Gewebeverträglichkeit und parodontale Gesundheit. Eine präzise zahnärztliche und zahntechnische Leistung ist für diese hervorragenden Eigenschaften wichtige Voraussetzung. Mit unserer Kompetenz, unserem Fachwissen und unseren Auftragslaboren stehen wir in unserer Zahnarztpraxis hierfür ein.

Vorteile :

Hochästhetische Ergebnisse Optimale Bio-verträglichkeit Kostengünstig

Versorgungsformen für Vollkeramik:

Inlays (Keramikinlays)

Veneers (Verblendschalen, Keramikverblendschalen)

Teilkronen

Vollkronen

zurück zurück
Zahnärztliche Gemeinschaftspraxis     Hannoversche Heerstr. 130  .  29227 Celle   Tel. 05141 81993  info@dent-team.de © dent-team.de 2026 Montag - Donnerstag: 7:30 - 18:30 Uhr  Freitag: 7:30 - 14:00 Uhr
starke Abnutzungen und unbefriedigende Kronen und Teilkronen
Neuversorgung mit Einzelkronen mit Stellungskorrekturen
© dent-team.de

Beispiel: Vollkeramik-Kronen

Laborgefertigtes Keramik-Veneer
Direkte Umformung (Komposit)
© dent-team.de

Veneer und Shaping:

Vorher
Nachher
Vorher
Nachher