Zahnerhaltung / Füllungstherapie /

Adhäsive Restauration - Ästhetische

Zahnerhaltung

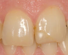
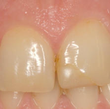
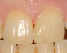
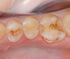
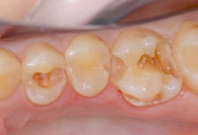
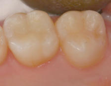
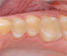
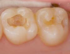
Die moderne Zahnmedizin kennt hervorragende Materialien und Verfahren, um Karies und andere Zahnhartsubstanzschäden durch „geklebte“ Füllungen bzw. besser: “adhäsive Rekonstruktionen” wiederherzustellen.

Vorteile moderner adhäsiver Restaurationen:

Optimale ästhetische Ergebnisse - Unsichtbarkeit Absolute Dichtigkeit - Spaltfreiheit möglich Sicherer Verbund - Hoher Halt und Festigkeit Substanzschonend - Minimalinvasiv - Gewebeschonend Langlebig Schlüssel zum Erfolg ist die „Klebung“, das sog. Adhäsivverfahren, die eine absolut innige und spaltfreie Versorgung gewährleisten. Sie erfordert hochwertige Materialien und sorgfältige Verarbeitung durch den Zahnarzt. Die Technik ist sowohl im Frontzahnbereich als auch im Seitenzahnbereich anwendbar. Dadurch sind praktisch unsichtbare Füllungen möglich. Minimalinvasive Versorgung - das bedeutet, eine Füllung unter maximaler Schonung der gesunden Zahnhartsubstanz anzufertigen. Exakte Anwendung und fachliches Können sind wichtige Voraussetzungen.
zurück zurück

Zahnerhaltung / Füllungstherapie /

Adhäsive Restauration - Ästhetische

Zahnerhaltung

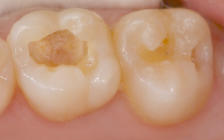
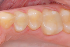
Die moderne Zahnmedizin kennt hervorragende Materialien und Verfahren, um Karies und andere Zahnhartsubstanzschäden durch „geklebte“ Füllungen bzw. besser: “adhäsive Rekonstruktionen” wiederherzustellen.

Vorteile moderner adhäsiver Restaurationen:

Optimale ästhetische Ergebnisse - Unsichtbarkeit Absolute Dichtigkeit - Spaltfreiheit möglich Sicherer Verbund - Hoher Halt und Festigkeit Substanzschonend - Minimalinvasiv - Gewebeschonend Langlebig Schlüssel zum Erfolg ist die „Klebung“, das sog. Adhäsivverfahren, die eine absolut innige und spaltfreie Versorgung gewährleisten. Sie erfordert hochwertige Materialien und sorgfältige Verarbeitung durch den Zahnarzt. Die Technik ist sowohl im Frontzahnbereich als auch im Seitenzahnbereich anwendbar. Dadurch sind praktisch unsichtbare Füllungen möglich. Minimalinvasive Versorgung - das bedeutet, eine Füllung unter maximaler Schonung der gesunden Zahnhartsubstanz anzufertigen. Exakte Anwendung und fachliches Können sind wichtige Voraussetzungen.
zurück zurück
Zahnärztliche Gemeinschaftspraxis     Hannoversche Heerstr. 130  .  29227 Celle   Tel. 05141 81993  info@dent-team.de © dent-team.de 2026 Montag - Donnerstag: 7:30 - 18:30 Uhr  Freitag: 7:30 - 14:00 Uhr