© dent-team.de

Behandlung der Parodontitis:

Die Grundvoraussetzung ist eine optimale häusliche Mundpflege. Weitere Vorteile sind der Verzicht auf Rauchen und eine gesunde Ernährung. Das Ziel der zahnärztlichen Behandlung ist die Plaque und damit die Anzahl der „Parodontitis-Bakterien“ in den Zahnfleischtaschen drastisch zu vermindern. Mittels spezieller Instrumente und Verfahren werden in der Behandlung alle bakteriellen und sonstigen Ablagerungen in den Zahnfleischtaschen eliminiert. Hierfür ist unter Umständen auch ein zweiter chirurgischer Eingriff notwendig. Durch die Behandlung kann der weitere Abbau des Zahnhalteapparats gestoppt werden. Bei schweren Verläufen ist die zusätzliche Gabe von Antibiotika oder die lokale Applikation von Antibiotika erforderlich.

Unverzichtbar - Recall - UPT - lebenslang

Besonders wichtig und lebenslang notwendig ist die regelmäßige professionelle Prophylaxe, um die wiederhergestellte parodontale Entzündungsfreiheit zu sichern. Ohne diese Erhaltungsmaßnahmen würden sich erneut Bakterien in den Zahnfleischtaschen einnisten und die parodontale Zerstörung würde weiter voranschreiten. Diese sog. „Unterstützende Parodontaltherapie -j UPT“ umfasst die erneute Motivation und Instruktion zur Optimierung der häuslichen Zahnreinigung und die professionelle Reinigung der Zähne und Zahnfleischtaschen, die sich durch erneute Bakterienbesiedlung wieder entzünden. Die Schwere der Parodontitis bestimmt die Abstände zur nächsten UPT-Sitzung. Es ist entscheidend, eine erneute Entzündung rechtzeitig zu verhindern.

Spezielle Parodontaltherapie:

1. Regenerative Parodontaltherapie: Bei einem besonders schweren Verlauf der Parodontitis können sog. Knochentaschen und Furkationsbefall entstehen. Informationen zu Knochentaschen finden Sie unter diesem Link: Bei fortgeschrittem Knochenabbau durch Parodontitis entsteht oftmals ein sog. Furkationsbefall. Mehr Infos zum Furkationsbefall gibt es unter diesem Link:
zurück
Eine erfolgreiche anerkannte Methode stellt die Behandlung mit Schmelzmatrixproteinen (Emdogain - Firma Straumann) dar.
Bestimmte Knochentaschen und bestimmte Formen von Furkationsbefall lassen sich durch spezielle parodontal-chirurgische Behandlungen regenerieren.
© dent-team.de
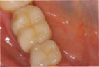
Furkationsbefall

2. Transplantate für Zahnfleisch und Bindegewebe:

Durch Transplantate kann verlorenes Gewebe wieder aufgebaut werden. Damit wird eine dauerhafte Stabilität der Gewebe und damit auch des Knochens erzielt und eine gute Putzfähigkeit für Zähne oder Implantate erreicht. Beispiele:

Parodontologie

Parodontitis:

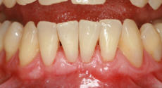
Bei der Parodontitis (Entzündung des Zahnbettes oder des Zahnhalteapparates) handelt es sich um eine chronische Erkrankung, die zum Abbau der zahntragenden Gewebe führt und mit Zahnfleischtaschen, erhöhter Lockerung des Zahnes, evtl. Schmerzen, bis zum Zahnausfall einhergeht. Parodontitis kann einzelne oder alle Zähne befallen und in seltenen Fällen schon bei Kindern und Jugendlichen auftreten. Sie verläuft lange still und unbemerkt und wirkt sich auch schädigend auf das Herz-Kreislaufsystem, Körperfunktionen und Organe aus.

Ursachen der Parodontitis:

Ursache für die Parodontitis sind bakterielle Zahnbeläge (Plaque) am Zahnfleischrand, die über lange Zeiträume bestehen und durch unzureichende Mundpflege entstehen. Die Bakterien der Plaque führen zunächst zur Entzündung des Zahnfleischsaumes (Gingivitis). Nach längerer Zeit vertieft sich die sog. Zahnfleischfurche zu einer sog. Zahnfleischtasche. In der Zahnfleischtasche können mehr und mehr Bakterien Platz finden. Schließlich greift die Entzündung auch auf die Knochenstrukturen des Zahnhalteapparates über. Damit ist eine Parodontitis entstanden, in deren Verlauf der zahntragende Knochen zerstört wird. Zusätzliche Faktoren, die das Entstehen einer Parodontitis fördern und den Verlauf verschlimmern, sind Rauchen, genetische Faktoren und bestimmte Erkrankungen des Gesamtorganismus (insbesondere Diabetes), funktionelle Überlastungen einzelner Zähne, unbehandelte Karies, Zahnengstände sowie überstehende Kronen- oder Füllungsränder, die Schlupfwinkel und damit Brutstätten für Bakterien bilden.

Folgen der Parodontitis für den ganzen Organismus:

Beim Kauen und Zähneputzen gelangen Bakterien in die Blutbahn. Die Zahl der Bakterien ist umso höher, desto schwerer die Parodontitis ausgeprägt ist. Bakterien aus den Zahnfleischtaschen können verursachen: Herzinfarkt und Schlaganfall Gefäßerkrankungen (Arteriosklerose) chronische Atemwegserkrankungen Verschlimmerung eines Diabetes Infektion künstlicher Gelenke Frühgeburt
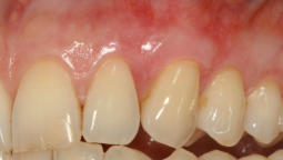
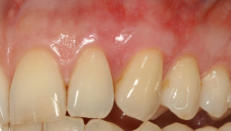
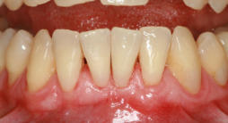
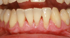
Mikrochirurgischer Wundverschluss
Gingivatransplantat fixiert
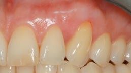
Zustand 3 Wochen post OP
Straumann
Was zahlt die  Krankenkasse?
Knochentaschen
 Knochentaschen Furkationsbefall
© dent-team.de

Behandlung der Parodontitis:

Die Grundvoraussetzung ist eine optimale häusliche Mundpflege. Weitere Vorteile sind der Verzicht auf Rauchen und eine gesunde Ernährung. Das Ziel der zahnärztlichen Behandlung ist die Plaque und damit die Anzahl der „Parodontitis- Bakterien“ in den Zahnfleischtaschen drastisch zu vermindern. Mittels spezieller Instrumente und Verfahren werden in der Behandlung alle bakteriellen und sonstigen Ablagerungen in den Zahnfleischtaschen eliminiert. Hierfür ist unter Umständen auch ein zweiter chirurgischer Eingriff notwendig. Durch die Behandlung kann der weitere Abbau des Zahnhalteapparats gestoppt werden. Bei schweren Verläufen ist die zusätzliche Gabe von Antibiotika oder die lokale Applikation von Antibiotika erforderlich.

Unverzichtbar - Recall - UPT - lebenslang

Besonders wichtig und lebenslang notwendig ist die regelmäßige professionelle Prophylaxe, um die wiederhergestellte parodontale Entzündungsfreiheit zu sichern. Ohne diese Erhaltungsmaßnahmen würden sich erneut Bakterien in den Zahnfleischtaschen einnisten und die parodontale Zerstörung würde weiter voranschreiten. Diese sog. „Unterstützende Parodontaltherapie -j UPT“ umfasst die erneute Motivation und Instruktion zur Optimierung der häuslichen Zahnreinigung und die professionelle Reinigung der Zähne und Zahnfleischtaschen, die sich durch erneute Bakterienbesiedlung wieder entzünden. Die Schwere der Parodontitis bestimmt die Abstände zur nächsten UPT-Sitzung. Es ist entscheidend, eine erneute Entzündung rechtzeitig zu verhindern.

Spezielle Parodontaltherapie:

1. Regenerative Parodontaltherapie: Bei einem besonders schweren Verlauf der Parodontitis können sog. Knochentaschen und Furkationsbefall entstehen. Informationen zu Knochentaschen finden Sie unter diesem Link: Bei fortgeschrittem Knochenabbau durch Parodontitis entsteht oftmals ein sog. Furkationsbefall. Mehr Infos zum Furkationsbefall gibt es unter diesem Link:
zurück
Eine erfolgreiche anerkannte Methode stellt die Behandlung mit Schmelzmatrixproteinen (Emdogain - Firma Straumann) dar.
Bestimmte Knochentaschen und bestimmte Formen von Furkationsbefall lassen sich durch spezielle parodontal-chirurgische Behandlungen regenerieren.
© dent-team.de

2. Transplantate für Zahnfleisch und Bindegewebe:

Durch Transplantate kann verlorenes Gewebe wieder aufgebaut werden. Damit wird eine dauerhafte Stabilität der Gewebe und damit auch des Knochens erzielt und eine gute Putzfähigkeit für Zähne oder Implantate erreicht. Beispiele:

Parodontologie

Parodontitis:

Bei der Parodontitis (Entzündung des Zahnbettes oder des Zahnhalteapparates) handelt es sich um eine chronische Erkrankung, die zum Abbau der zahntragenden Gewebe führt und mit Zahnfleischtaschen, erhöhter Lockerung des Zahnes, evtl. Schmerzen, bis zum Zahnausfall einhergeht. Parodontitis kann einzelne oder alle Zähne befallen und in seltenen Fällen schon bei Kindern und Jugendlichen auftreten. Sie verläuft lange still und unbemerkt und wirkt sich auch schädigend auf das Herz-Kreislaufsystem, Körperfunktionen und Organe aus.

Ursachen der Parodontitis:

Ursache für die Parodontitis sind bakterielle Zahnbeläge (Plaque) am Zahnfleischrand, die über lange Zeiträume bestehen und durch unzureichende Mundpflege entstehen. Die Bakterien der Plaque führen zunächst zur Entzündung des Zahnfleischsaumes (Gingivitis). Nach längerer Zeit vertieft sich die sog. Zahnfleischfurche zu einer sog. Zahnfleischtasche. In der Zahnfleischtasche können mehr und mehr Bakterien Platz finden. Schließlich greift die Entzündung auch auf die Knochenstrukturen des Zahnhalteapparates über. Damit ist eine Parodontitis entstanden, in deren Verlauf der zahntragende Knochen zerstört wird. Zusätzliche Faktoren, die das Entstehen einer Parodontitis fördern und den Verlauf verschlimmern, sind Rauchen, genetische Faktoren und bestimmte Erkrankungen des Gesamtorganismus (insbesondere Diabetes), funktionelle Überlastungen einzelner Zähne, unbehandelte Karies, Zahnengstände sowie überstehende Kronen- oder Füllungsränder, die Schlupfwinkel und damit Brutstätten für Bakterien bilden.

Folgen der Parodontitis für den

ganzen Organismus:

Beim Kauen und Zähneputzen gelangen Bakterien in die Blutbahn. Die Zahl der Bakterien ist umso höher, desto schwerer die Parodontitis ausgeprägt ist. Bakterien aus den Zahnfleischtaschen können verursachen: Herzinfarkt und Schlaganfall Gefäßerkrankungen (Arteriosklerose) chronische Atemwegserkrankungen Verschlimmerung eines Diabetes Infektion künstlicher Gelenke Frühgeburt
Mikrochirurgischer Wundverschluss
Gingivatransplantat fixiert
Zustand 3 Wochen post OP
Zahnärztliche Gemeinschaftspraxis     Hannoversche Heerstr. 130  .  29227 Celle   Tel. 05141 81993  info@dent-team.de © dent-team.de 2026 Montag - Donnerstag: 7:30 - 18:30 Uhr  Freitag: 7:30 - 14:00 Uhr
Was zahlt die Krankenkasse?