Zahnaufhellung (Bleaching)

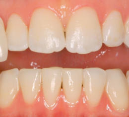
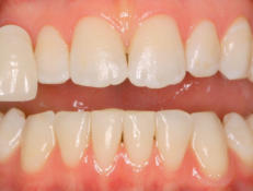
Die Zahnaufhellung oder das Bleaching ist eine Methode, um den Farbton der Zähne aus ästhetischen Gründen aufzuhellen. Korrekt durchgeführtes Aufhellen schadet nachweislich den Zähnen und der Qualität der Zahnsubstanz nicht. Dadurch kann oftmals ein Überkronen einzelner dunkler Zähne vermieden werden.
zurück zurück

1. „Home Bleaching” das Aufhellen mit individuellen Zahnschienen mit

häuslicher Anwendung:

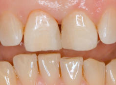
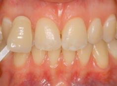
Hierbei wird für Sie eine individuelle, dünne, passgenaue Kunststoffschiene nach Abformung und Modellherstellung hergestellt. Diese Schiene wird nachts getragen und mit einem Aufhellungsgel gefüllt. Dabei garantiert das niedrig konzentrierte Gel ein schonendes Aufhellen der Zähne.
© dent-team.de
© dent-team.de

2. „Walking-Bleach-Technik” , Aufhellen einzelner Zähne:

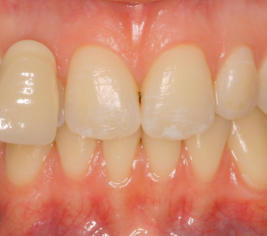
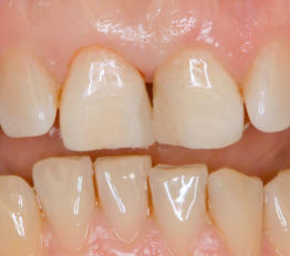
Diese Methode wird beim Bleaching einzelner verfärbter wurzelbehandelter Zähne angewendet. Hierbei wird eine bleichende Einlage in den Zahn eingebracht und verschlossen. Das Bleichmittel wird für einige Tage im Zahn belassen und gewechselt, bis das gewünschte Farbergebnis erreicht wurde. Danach wird der Zahn wieder dauerhaft mit einer Füllung verschlossen.
Weitere Informationen Weitere Informationen

Wir wenden zwei schonende Verfahren in unserer Praxis an:

Weitere Themen zur ästhetischen Zahnmedizin:

Ästhetische Zahnerhaltung Schonende Zahnstellungs-korrekturen mit Alignern
Vollkeramik

Zahnaufhellung (Bleaching)

Die Zahnaufhellung oder das Bleaching ist eine Methode, um den Farbton der Zähne aus ästhetischen Gründen aufzuhellen. Korrekt durchgeführtes Aufhellen schadet nachweislich den Zähnen und der Qualität der Zahnsubstanz nicht. Dadurch kann oftmals ein Überkronen einzelner dunkler Zähne vermieden werden.
zurück zurück

1. „Home Bleaching” das Aufhellen mit individuellen Zahnschienen

mit häuslicher Anwendung:

Hierbei wird für Sie eine individuelle, dünne, passgenaue Kunststoffschiene nach Abformung und Modellherstellung hergestellt. Diese Schiene wird nachts getragen und mit einem Aufhellungsgel gefüllt. Dabei garantiert das niedrig konzentrierte Gel ein schonendes Aufhellen der Zähne.
© dent-team.de
© dent-team.de

2. „Walking-Bleach-Technik” , Aufhellen einzelner Zähne:

Diese Methode wird beim Bleaching einzelner verfärbter wurzelbehandelter Zähne angewendet. Hierbei wird eine bleichende Einlage in den Zahn eingebracht und verschlossen. Das Bleichmittel wird für einige Tage im Zahn belassen und gewechselt, bis das gewünschte Farbergebnis erreicht wurde. Danach wird der Zahn wieder dauerhaft mit einer Füllung verschlossen.
Weitere Informationen Weitere Informationen

Wir wenden zwei schonende Verfahren in unserer Praxis an:

Zahnärztliche Gemeinschaftspraxis     Hannoversche Heerstr. 130  .  29227 Celle   Tel. 05141 81993  info@dent-team.de © dent-team.de 2026 Montag - Donnerstag: 7:30 - 18:30 Uhr  Freitag: 7:30 - 14:00 Uhr

Weitere Themen zur ästhetischen Zahnmedizin:

Ästhetische Zahnerhaltung Schonende Zahnstellungs-korrekturen mit Alignern Vollkeramik